Kids Dentist:
Top 7 MISTAKES PARENTS MAKE in Helping Kids with Oral Health
#1: DOING THE WRONG THINGS TO PREVENT DENTAL PROBLEMS IN CHILDREN:
When it comes to dental work, less is better! So, focus on preventing dental problems.
You should be doing different things at each stage of a child's life from pregnancy to adulthood to prevent dental problems:
Dentistry for Children: PREVENTING DENTAL PROBLEMS IN CHILDREN
______________________________________________________________________________
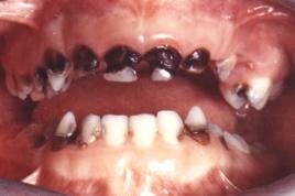
#2: UNDERESTIMATING THE IMPORTANCE OF BABY TEETH:
Yes, baby teeth fall out, but underestimating the importance of baby teeth or underestimating the power of sugar to destroy teeth will have damaging consequences. PREVENT the problems:
______________________________________________________________________________
#3: BEING UNAWARE OF THE DANGERS TO A TEETHING BABY:
The Federal Drug Administration (FDA) has issued warnings, but no one is listening!:
Teething Baby: Poisonous Teething Remedies that can KILL!
DON'T LET THIS BE the FATE of a BABY, a paramedic performing CPR!:
______________________________________________________________________________
#4: THINKING THAT FLUORIDE IS ALL BAD OR ALL GOOD:
A bottle-fed infant who consumes infant formula mixed with fluoridated water ends up consuming 400% more fluoride than the maximum recommended! Make smart choices about fluoride:
Fluoride in Water, Fluoride Toothpaste, Fluoride Dangers...

______________________________________________________________________________
#5: CHOOSING THE WRONG KIDS DENTIST:
There are 2 critical questions to ask before choosing a kids dentist:
1) Will my child co-operate with the kids dentist?
Without a child’s co-operation nothing will be accomplished! Hence choose a dentist with a reputation of making a child’s dental appointment pleasant while getting the dental work done. Some dentists, just like some people, are better at managing kids than others.
Ask friends and family, and check online reviews for information about:
How good is the dentist with children?
For example, Wendy P.'s review on Google on May 31, 2018, describes how a kids' dentist ability to form a bond with a child makes a difference in the care they receive:
I am so happy with this office I can’t thank dr Joanne enough for making my daughter feel so comfortable and gain the trust from her. she’s 4 and she let dr Joanne do all the work she needed thank you for the special bond you have created with her I would recommend her and this office to anyone and everyone all the dr’s, assistant’s and front desk are amazing thank you to all of you for making my daughter feel so welcomed!!!!
Wonderful staff , Joanne amazing with my daughter who previously very nervous of dentists. The hygienists are wonderful and so patient with children. So happy we found smile care !!!
2) If my child does not co-operate are there options at the kids' dentist clinic to help my child get the dental work they may need?
The worst thing that a dentist can do is to make a dental visit unpleasant for a child. IT WILL SCAR THE CHILD FOR LIFE! Hence, a child should NEVER be forced or pushed beyond what the child will allow the dentist to do. Choose a kids dentist clinic that has sedation options available; occasionally that is the only way to provide a pleasant experience to a very nervous or uncooperative child.
______________________________________________________________________________
#6: WORRYING ABOUT "BABY TEETH ORDER" AND "BABY TEETH CHARTS":
Baby Teeth Order and Baby Teeth Chart

______________________________________________________________________________
#7: DOING THE WRONG THINGS AT THE WRONG TIME REGARDING THUMB SUCKING:
Thumb Sucking and Thumb Sucking Teeth





